Presentación de Crysta
Tecnología MCP recién patentada para la próxima generación de materiales dentales

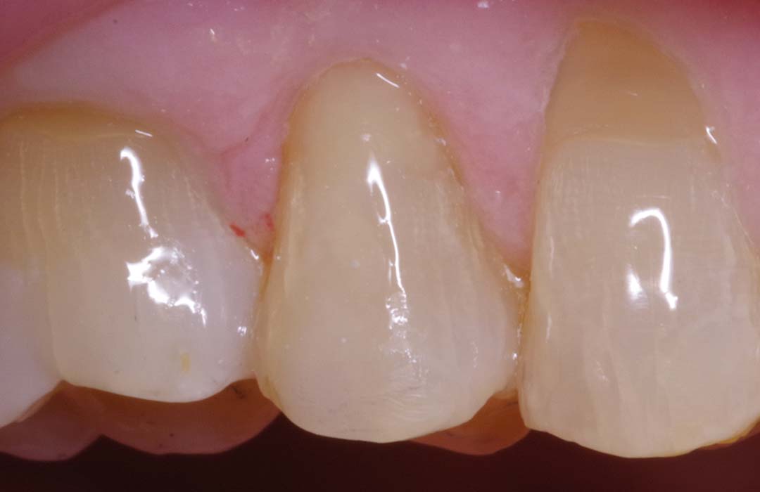
Antes de

Después de

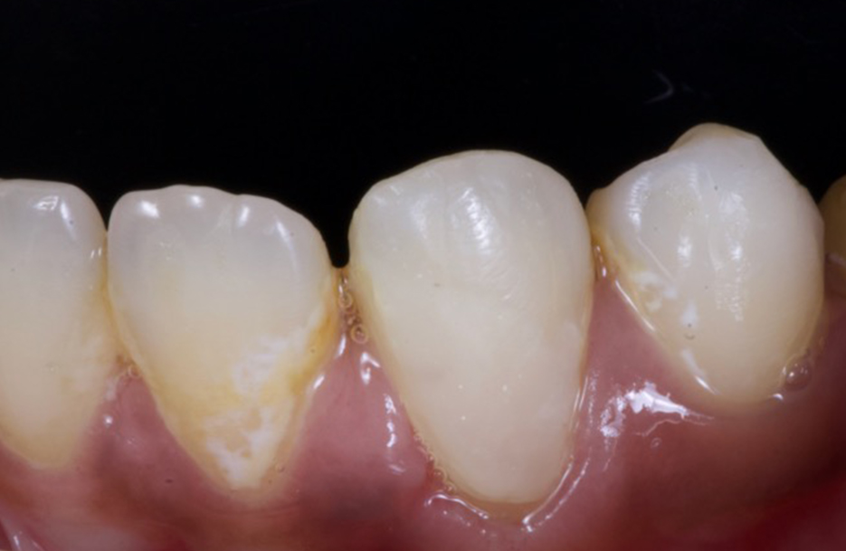
Antes de

Después de

Antes de

Después de

Pulpdent obtiene dos patentes para una molécula de fosfato cálcico estabilizado
Comunicado de prensa: 10 de enero de 2022
Novedoso componente de fosfato cálcico funcionalizado con metacrilato en odontología
Artículo de la revista Polymers
La recién patentada molécula Crysta impulsa ACTIVA Presto, el último restaurador bioactivo de Pulpdent.
Comunicado de prensa: 10 de enero de 2022
Crysta rompe el techo de los materiales dentales, borrando la línea que separa la odontología preventiva de la restauradora
Ahora los dentistas pueden utilizar materiales de restauración biointeractivos que remineralizan los dientes y facilitan la hidroxiapatita, sin comprometer la estética. Crysta es forma y función trabajando como una sola cosa.

Disponible inmediatamente en los productos de restauración Pulpdent, incluidos el composite fotopolimerizable universal Activa Presto y el revestimiento de cavidades Lime-Lite Enhanced.
EXPLICACIÓN DE LA TECNOLOGÍA CRYSTA MCP
¿Necesitas algo más? Ponte en contacto con nosotros.
Abajo: Micrografías SEM y EDS de probetas que contienen un 3 % en peso de tecnología Crysta MCP antes y después de su inmersión en PBS durante 21 días. Haz clic en la imagen para ver la figura en un artículo reciente en Polymers.
Preguntas y respuestas sobre Crysta
¿Qué es Crysta?
Crysta es el nombre comercial de una molécula biointeractiva recientemente patentada por Pulpdent, una empresa de investigación y fabricación dental fundada en 1947 y con sede en Watertown, Massachusetts. Crysta no es un producto, sino una tecnología patentada que puede emplearse en materiales dentales. El nombre técnico de la molécula Crysta es «fosfato cálcico funcionalizado con metacrilato», abreviado «MCP». Se trata de un fosfato cálcico estabilizado, detenido en un estado transitorio y capaz de proporcionar el calcio, el fosfato y el flúor necesarios a los dientes dañados. Pulpdent estableció una nueva categoría de materiales compuestos bioactivos estéticos y duraderos con la introducción de su línea de productos ACTIVA BioACTIVE en 2013. El descubrimiento de Crysta amplía las posibilidades de los materiales dentales «inteligentes». Acelera el alejamiento de la odontología de los materiales pasivos y su acercamiento a los materiales de restauración activos como norma de atención universalmente reconocida.
¿Por qué Crysta es importante para mí como dentista?
Crysta es un salto en la ciencia de los materiales dentales que borra la línea que separa la odontología restauradora de la preventiva. Considera los actuales modelos divergentes de tratamiento dental. Un modelo se basa en materiales inertes (por ejemplo, amalgama y composites tradicionales) para tratar los problemas dentales, mientras que el otro emplea materiales «inteligentes» o «bioactivos» que interactúan dinámicamente con la saliva y los dientes para promover la salud dental. La tecnología Crysta MCP pertenece a esta última categoría. Crysta puede incorporarse a composites estéticos y portantes para facilitar la remineralización de la estructura dental, sellar los márgenes mediante la deposición de calcio, fosfato y flúor, y romper el ciclo del fracaso restaurador y la caries secundaria. En resumen, Crysta rompe el techo de la odontología restauradora. Vincula los procedimientos restauradores con la prevención y establece un nuevo estándar para que la forma y la función trabajen juntas en odontología.
¿Está Crysta ya disponible en productos?
Sí. Crysta es actualmente un componente de tres productos Pulpdent: ACTIVA Presto, ACTIVA Pronto y Lime-Lite Enhanced. Pulpdent está investigando la posibilidad de incorporar Crysta en futuros productos, como composites envasables, agentes adhesivos, adhesivos para brackets de ortodoncia, selladores de conductos radiculares y cementos.
¿Cuál es el mecanismo de acción de Crysta?
Una forma de entender Crysta es que se trata esencialmente de hidroxiapatita deficiente en calcio. Busca calcio. Ese calcio puede encontrarse en la saliva y en los dientes. Sin embargo, la Crysta no elimina el calcio de los dientes, sino que se une al calcio de los dientes. Crysta también actúa como precursor de sitios de nucleación que atraen y se unen al calcio y al fosfato del entorno, simulando el lento proceso natural de mineralización. En condiciones cariogénicas (pH ≤ 5), los materiales que contienen Crysta pueden liberar calcio y fosfato, y pueden recargarse cuando el pH se aproxima al neutro.
¿Es Crysta un relleno?
Crysta se sintetiza en forma de polvo; sin embargo, cuando se incorpora a una resina compuesta dental, Crysta no es un relleno tradicional y no existe como partículas discretas. En su lugar, se disuelve y pasa a formar parte de la fase de resina. Cuando se endurece, el composite presenta una baja solubilidad y una baja sorción de agua. Sin embargo, en presencia de agua o saliva, la resina curada se convierte en un sistema iónico activo. Libera y recarga calcio, fosfato y flúor, y sirve de andamiaje para los depósitos minerales en la superficie del composite y a lo largo de la interfase material-diente.
¿Está Crysta respaldada por la investigación?
Existen publicaciones científicas que documentan las propiedades mecánicas y bioactivas de la MCP Crysta y de materiales que contienen concentraciones variables de MCP. Entre ellas se incluyen:
- Patente de los Estados Unidos: US 2016/0256362 A1; Fosfato cálcico estabilizado y métodos para formarlo;
- Patente de los Estados Unidos: US 11.116.701 B2: Fosfato cálcico estabilizado;
- Skaria S, Berk KJ. Composites dentales experimentales que contienen un nuevo componente de fosfato cálcico funcionalizado con metacrilato: evaluación de la bioactividad y las propiedades físicas. Polímeros 2021;11(13):2095;
- Ames K. Método para detectar la mineralización de fosfato cálcico en composites dentales. Academia de Materiales Dentales 2021.
¿Sustituye Crysta a las tecnologías bioactivas anteriores?
No. Lo extraordinario de los productos que contienen Crysta MCP es que funcionan tanto con otros materiales bioactivos como con materiales tradicionales. Piensa en Crysta como una nueva herramienta que amplía fundamentalmente la paleta de opciones restauradoras «inteligentes» de los dentistas.
¿Dónde puedo obtener más información sobre Crysta o utilizar productos con esta tecnología?
Para hablar con un representante regional de Pulpdent sobre Crysta, Activa Presto, Activa Pronto o Lime-Lite Enhanced, envía un correo electrónico a [email protected]. Para mantenerte informado sobre las oportunidades educativas, incluidos los futuros seminarios web de CE sobre este tema, suscríbete al boletín mensual de Pulpdent. Para saber más sobre ACTIVA Presto, visita esta página, y para saber más sobre Lime-Lite Enhanced, visita esta página. Los productos pueden adquirirse a través de pulpdent.com o poniéndote en contacto con tu distribuidor dental preferido.
INFORMACIÓN ADICIONAL SOBRE CRYSTA
La molécula Crysta es calcio y fosfato funcionalizados con metacrilato y estabilizados con monómero de metacrilato. No es ni amorfa ni cristalina, sino que se encuentra en un estado de transición que permite una mayor solubilidad en monómeros que la que puede conseguirse con las estructuras cristalinas. Esta modificación favorece un mayor potencial de mineralización, crea lugares de nucleación para los cristales de apatita y ayuda a crear un entorno favorable para la deposición de calcio y fosfato.
Los silicatos cálcicos precipitan rápidamente el fosfato cálcico y pueden reparar grandes defectos. Esto es ventajoso en muchas situaciones clínicas, pero estos materiales no son adecuados para aplicaciones estéticas, de carga y de sustitución del esmalte.
Las investigaciones de Pulpdent indican que, para que la remineralización sea estética, debe producirse lentamente. Esto imita el proceso natural de remineralización en la boca durante los ciclos de pH más altos. La deposición rápida de fosfato cálcico da lugar a un aspecto blanco calcáreo, no estético. Pulpdent ha experimentado con distintas concentraciones de Crysta in vivo, y ha observado estos resultados en estos estudios.
Tanto los materiales ACTIVA Presto como ACTIVA BioACTIVE-RESTORATIVE son composites estéticos a base de resina con propiedades bioactivas y biomiméticas. Son respetuosos con la humedad, y la matriz de resina contiene grupos de ácido fosfato y un componente de resina cauchutada que resiste la fractura y el desconchado. Ambos responden a los cambios de pH en la boca, liberan y recargan calcio, fosfato y flúor, y favorecen la formación de apatita y el proceso natural de remineralización.
Los productos Activa Bioactive son materiales bioactivos, estéticos, de dos componentes y doble polimerización. Contienen ionómero de vidrio y tienen una verdadera reacción ácido-base del ionómero de vidrio. Activa Bioactivo-Restaurativo es un material fluido/inyectable con un 56% de relleno y viscosidad media.
Activa Presto es un composite bioactivo monocomponente, fotopolimerizable, universal y apilable. Presto no contiene ionómero de vidrio. En su lugar, contiene un componente patentado de fosfato cálcico modificado (MCP). Presto tiene un 70% de relleno y es más viscoso que Activa Bioactive. Es apilable, mantiene la forma, se coloca y esculpe más fácilmente, es más pulible y más radiopaco. Es un poco más estético y resistente al desgaste que Activa Bioactiva.
Los pacientes buscan soluciones duraderas que sean beneficiosas para su salud general. Investigan y conocen cada vez mejor las opciones de tratamiento en todos los campos de la medicina. Los médicos que adoptan un enfoque proactivo respecto a la salud de sus pacientes basan sus consultas en la satisfacción de éstos y en las recomendaciones de boca en boca. Un debate sobre materiales bioactivos, enriquecidos con minerales, que imitan a la naturaleza y ayudan a reconstruir los dientes a la manera natural, resuena en estos pacientes.
SOBRE PULPDENT
PULPDENT ES UNA EMPRESA GLOBAL CON SEDE EN WATERTOWN, MASSACHUSETTS, EE.UU., QUE SE CENTRA EN LA INVESTIGACIÓN DENTAL ORIGINAL Y LLEVA A CABO LA FABRICACIÓN NACIONAL IN SITU DE PRINCIPIO A FIN. LA INNOVACIÓN, LA DEDICACIÓN Y LA CAPACITACIÓN SON SUS VALORES FUNDAMENTALES. PULPDENT FUE PIONERA EN MATERIALES DENTALES BIOACTIVOS Y HOY ES LÍDER DEL MERCADO. EN 2021 PULPDENT CONSIGUIÓ MATERIALES DE RESTAURACIÓN DENTAL 100% LIBRES DE BPA.
EN 2022, CELEBRA 75 AÑOS CON NOSOTROS MIENTRAS ESTABLECEMOS UNA NUEVA VISIÓN DE LA ODONTOLOGÍA
#pulpdent75 | @pulpdent | @pulpdentcorporation
ESTABLECER UNA NUEVA VISIÓN PARA EL FUTURO DE LA ODONTOLOGÍA


